
セラミック治療とは
茨城県那珂市の歯医者 吉川歯科医院
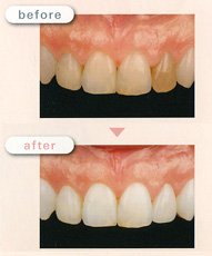
那珂市額田の吉川歯科医院では、見た目の美しさと歯の機能性を両立するセラミック治療を行っています。セラミック治療は、むし歯や古い詰め物で傷んだ歯を、天然歯に近い色と透明感をもつセラミック素材で修復する方法です。自然な白さを取り戻しながら、噛み合わせや歯全体のバランスも整えることができます。セラミックは見た目が自然なだけでなく、一般的に汚れが付きにくく清掃しやすい素材とされています。金属を使わないため、金属アレルギーのリスクが比較的少ないとされる素材です。銀歯や変色した詰め物が気になる方、歯の形や色を整えたい方にとって、適した治療法といえます。近年は、人と接する機会が多い方を中心に審美歯科治療への関心が高まっています。茨城県那珂市の歯医者 吉川歯科医院では、患者様一人ひとりの歯の状態やご希望に合わせて素材・治療計画をご提案し、自然で健康的な口元を目指した治療を行っています。
セラミック治療の特長
吉川歯科医院で行うセラミック治療には、次のような特長があります。
金属を使用しないため金属アレルギーの心配が少ない
経年による変色が少なく、美しさを長期間保ちやすいとされています
天然歯に近い色や透明感を再現でき、周囲の歯と自然に調和する
歯ぐきとの境目も自然で、見た目の美しさが高い
これにより、従来の銀歯や保険適用の白い素材と比べて、より自然で健康的な見た目を目指せる場合があります。セラミック治療は、見た目の美しさと機能性を両立したい方に適しており、患者様の個別ニーズに沿った治療を提供しています。
セラミック治療は
こんな方に適していますセラミック治療は、以下のような方におすすめです。
笑ったときに銀歯が目立つことが気になる方
自然な歯のような色や質感に整えたい方
金属アレルギーが心配な方
長期的に美しい口元を維持したい方
吉川歯科医院では、患者様の希望や生活習慣を丁寧に伺いながら、見た目だけでなく嚙み合わせや歯全体の健康にも配慮した治療を行います。
また、患者様に合ったセラミック素材と治療法を提案し、自然で健康的な口元を実現しています。
セラミック素材と治療法
※横にスクロールしてご覧ください。
| セラミック・ ラミネートベニア | オールセラミック・クラウン | |
|---|---|---|
| (自費診療) | (自費診療) | |
|
| |
| 治療方法 | 歯の表面を薄く削り、セラミック製の板を貼り付ける方法です。ホワイトニングでは対応できない変色歯や、歯の形・大きさの微調整に適しています。 | 歯全体をセラミック製の白い冠で覆う方法です。金属を使用しないため、歯ぐきの黒ずみが起こりにくく、長期間自然な美しさを保てます。 |
| 特徴評価 | 見た目の自然さ ★★★ | 見た目の自然さ ★★★ |
茨城県那珂市の歯医者 吉川歯科医院
セラミック治療の流れ
- 01
カウンセリング・診査診断
歯の色や形、嚙み合わせ、口元の印象について、患者様の希望や悩みを丁寧にヒアリングします。
そのうえで、歯科医師が口腔内を診査し、必要に応じてレントゲン撮影や口腔内写真を用いて治療可能かを判断します。生活背景や審美に対する考え方も含め、丁寧な対話を重視しています。 - 02
治療計画のご提案
診査結果をもとに、最適な素材や治療方法を提案します。治療のメリット・デメリット、費用、治療期間、リスクも具体的に説明し、納得いただいたうえで治療を進めます。複数のプランを提示し比較検討していただくことも可能です。
- 03
形成・型取り
セラミックを装着するために、対象歯を必要最小限に形成します。その後、精密な型取りを行い、歯科技工士が個々に合わせたセラミックを作製します。色調や形態は周囲の歯に自然に調和するよう調整します。
- 04
仮歯の装着
本製作までの間、見た目や機能を保つために仮歯を装着します。仮歯で生活しながら噛み合わせや話しやすさを確認し、必要に応じて調整してから本装着に進みます。
- 05
セラミックの装着
完成したセラミックを装着し、嚙み合わせや見た目を確認した上で接着します。
自然な仕上がりでできるだけ違和感の少ない口元を目指し、使用感を確認しながら治療を終了します。 - 06
メンテナンス
セラミックは耐久性がありますが、長期的な美しさを維持するには定期的なメンテナンスが必要です。
歯科衛生士によるクリーニングや自宅でのケア指導を行い、長期にわたり美しい状態の維持を目指せるようサポートします。


FAQ セラミック治療の
よくある質問
保険適用の白い歯とセラミックの違いは?
保険適用の素材(コンポジットレジンなど)は変色しやすく耐久性も低めです。
セラミックは自然な色合いと高い耐久性を持ち、より長期的に美しい口元を維持できます。セラミックはどれくらい持ちますか?
日常のケアと定期メンテナンスを行うことで、10年以上使用されているケースも報告されていますが、使用期間には個人差があります。
定期検診が長持ちのポイントです。費用はどのくらいかかりますか?
使用する素材や本数によって異なります。カウンセリング時に丁寧にご説明いたします。

